Caiado conclui 100% de integração asfáltica com pavimentação da GO-154 em Bonópolis
Ao entregar a recuperação da GO-164, em São Miguel do Araguaia, o governador destacou que a obra vai impulsionar o de...
Ao entregar a recuperação da GO-164, em São Miguel do Araguaia, o governador destacou que a obra vai impulsionar o de...
Pista passou por modernização com o alargamento em pontos estratégicos para receber a MotoGP
Obras na GO-050 chegam a 43% de execução e devem ser concluídas ainda em 2026, segundo vice-governador Daniel Vilela:...
Gracinha Caiado abre a segunda edição do Goiás Social em 2026 em Mozarlândia
Premiação com o Selo Ouro reconhece cumprimento de um conjunto amplo de ações alfabetizadoras do Governo de Goiás
O governador Ronaldo Caiado estabeleceu contato direto com o governo norte-americano com o objetivo de estimular a produ...
De acordo com o Cimehgo, deve chover em todo o estado. Segundo os dados, as regiões mais afetadas são a leste e norte de Goiás.
Ensaio controlado da Virginia Tech indica que jovens mais novos tendem a exagerar nas calorias depois de 2 semanas comendo muitos ultraprocessados –...
Os hormônios influenciam de várias formas o nosso humor e as nossas emoções. Cientistas procuram estudar os mecanismos envolvidos neste processo p...
Pesquisa publicada na revista Science identifica uma enzima que fragmenta cromossomos de forma abrupta, acelerando a evolução do tumor e dificultand...
Fundada em 2019, Milhas pela Vida das Mulheres presta assessoria a mulheres que têm o direito ao aborto legal negado no país.
Dono de veículo afirmou aos policiais que possui o vício em drogas e que teria "penhorado" o carro com o suspeito. Ambos tiveram a prisão mantida a...
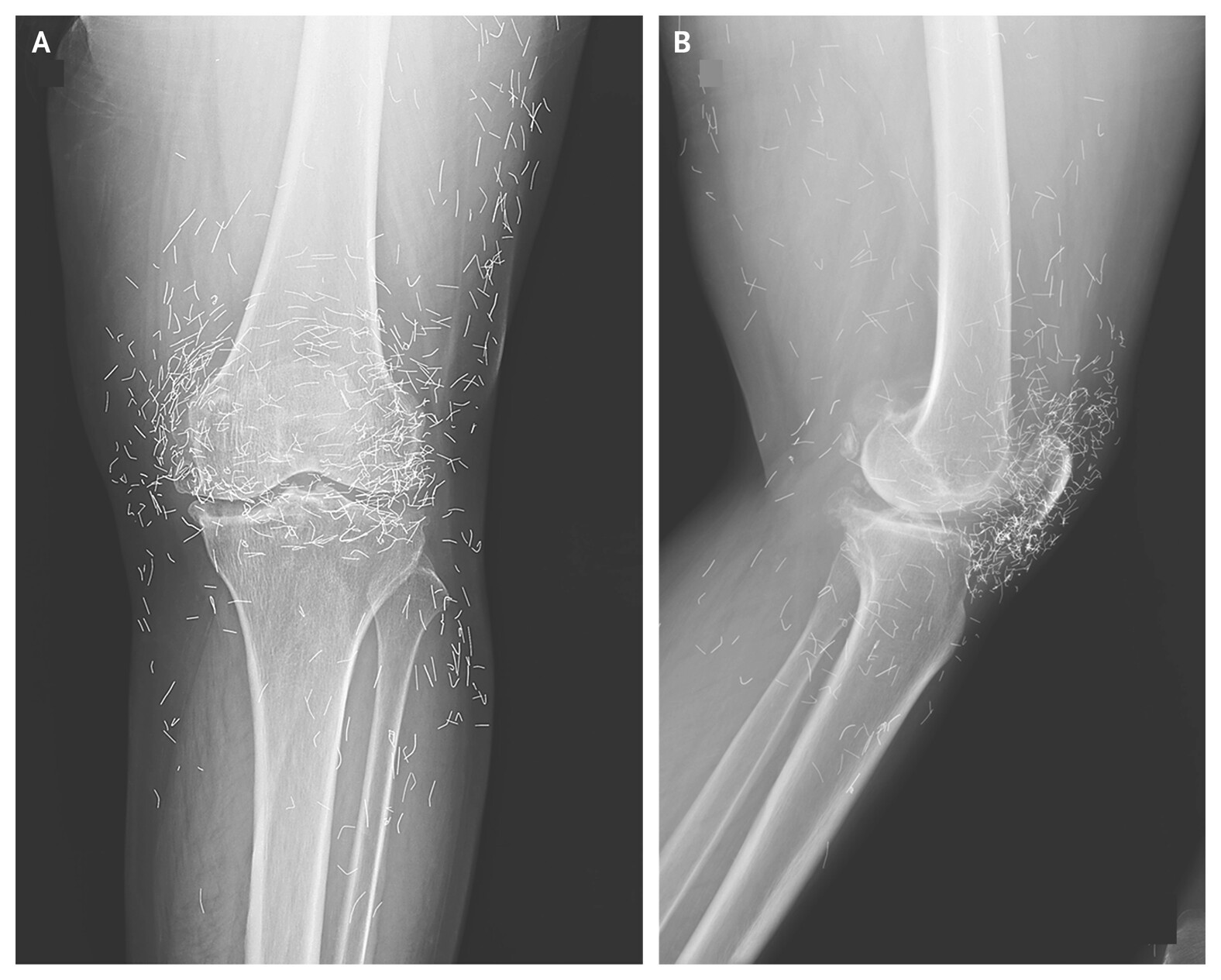
Caso foi descrito em periódico médico e expõe os riscos de terapias alternativas que prometem aliviar dor, mas podem agravar doenças como a osteoa...
Embora o papel das mulheres na fabricação de cerveja seja historicamente desprezado, hoje sabe-se que a cerveja atual, à base de lúpulo, foi inven...
O sexismo sutil que invade o dia a dia das mulheres, muitas vezes, acaba sendo ignorado. Mas pesquisas demonstram que seus efeitos psicológicos podem...
Para estudiosos, decisão aprovada em Santa Catarina vai na contramão do que mostram dados da ação afirmativa. Brancos com ensino superior ainda s�...
Governador celebra saída do RRF e adesão Propag, mas diz que recuperação fiscal construída em sete anos pode cair por terra se for má conduzida
Governo norte-americano retirou Moraes e sua esposa, Viviane, da lista de sancionados da Lei Magnitsky; governo americano não explicou as razões par...